Anatomically Proven
Soothe the Skin — Lycopus Lucidus Leaf Extract

After extensive anatomical research on the skin, among countless botanical ingredients,

it was Lycopus lucidus leaf extract that proved to stabilize the skin barrier and cellular responses from the ground up.


舒缓肌肤 — 泽兰叶提取物

经过对皮肤的广泛解剖学研究,在无数植物成分中,

泽兰叶提取物 被证明能够 从根本上稳定皮肤屏障和细胞反应

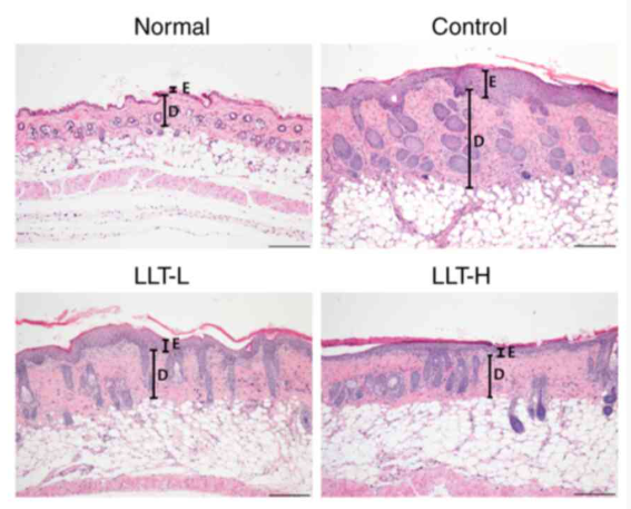
Microscopic skin comparison showing Normal, Control, LLT-L, and LLT-H

Animals in an atopic dermatitis model treated with Lycopus Lucidus Leaf Extract showed remarkable recovery of skin tissue.

经过泽兰叶提取物处理的特应性皮炎模型动物,其皮肤组织显示出显著的修复效果。

Scientifically Proven to Restore Deep Skin Layers

As demonstrated in the study above, Lycopus Lucidus Leaf Extract penetrates beyond the skin surface and delivers restorative effects deep within the dermal layers.

The top-left photo shows healthy skin, while the top-right image depicts inflammation and swelling after induced irritation. The lower images show visible recovery when treated with Lycopus Lucidus Leaf Extract.

Application of Lycopus Lucidus Leaf Extract visibly repaired damaged tissue and reduced inflammation, confirming its proven efficacy in soothing sensitive skin.

经科学验证可修复深层肌肤

如上图所示,泽兰叶提取物不仅作用于皮肤表面,还能深入真皮层发挥修复功效。

左上图为健康皮肤,右上图显示诱导刺激后出现的炎症与肿胀。下方两张图为使用泽兰叶提取物后,皮肤显著恢复的效果。

泽兰叶提取物的应用有效修复受损组织并减轻炎症,证实其在舒缓敏感肌方面的科学功效。

Phenolic and Flavonoid Complex for Skin Soothing and Recovery

Extensive research has demonstrated that Lycopus Lucidus Leaf Extract directly interacts with cellular signaling pathways involved in skin sensitivity and inflammation.

Specifically, the activation marker of NF-κB, a key regulator of inflammatory responses, improved by approximately 50%, while the activation marker of MAPK, another stress-response pathway, was reduced by 40%.

These findings provide strong evidence that Lycopus Lucidus Leaf Extract acts at the very first stage of the skin’s sensitivity response—the “alarm switch”—effectively calming excessive reactivity and restoring balance.

Phenolic & Flavonoid 复合物助力舒缓与修复肌肤

大量研究表明,泽兰叶提取物可直接作用于与皮肤敏感和炎症相关的细胞信号通路。

具体而言,炎症反应关键调控因子 NF-κB 的激活指标改善约 50%,而应激反应通路 MAPK 的活化水平降低了 40%

这些结果充分证明,泽兰叶提取物可在皮肤敏感反应的最初阶段(即“报警开关”)发挥作用,抑制过度反应并恢复肌肤平衡。

NF-κB and MAPK inhibition study of Lycopus Lucidus Leaf Extract

Kim et al. (2021), Journal of Inflammation Research

Kim 等 (2021),炎症研究杂志

NF-κB and MAPK signaling reduction study

Min et al. (2021), Molecular Medicine Reports

Min 等 (2021),分子医学报告

Cross-Verification through Global Research

Study 1: Min et al. (2021), Molecular Medicine Reports

This study used an animal model designed to simulate highly sensitive skin conditions.
It was confirmed that the activation of NF-κB and MAPK signaling within the skin tissue was significantly reduced.

通过全球研究交叉验证

研究 1:Min 等 (2021),分子医学报告

本研究采用动物模型来模拟高度敏感的皮肤状态。
结果显示,皮肤组织内的 NF-κBMAPK 信号通路激活显著降低。

Study 2: Shin et al. (2005), Archives of Pharmacal Research

This study revealed that Lycopus Lucidus Leaf Extract reduces the secretion of inflammatory substances from cells responsible for triggering immediate skin sensitivity reactions.

This means that Lycopus Lucidus Leaf Extract not only soothes already activated skin responses but also helps prevent the initial cascade of sensitivity—acting proactively to calm the skin before irritation begins.

研究 2:Shin 等 (2005),药物研究档案

研究结果表明,泽兰叶提取物可抑制负责引发皮肤即刻敏感反应的细胞分泌炎症物质。

这意味着泽兰叶提取物不仅能舒缓已被激活的皮肤反应,还能在敏感反应链启动前发挥预防作用,主动安抚肌肤,防止刺激发生。

Lycopus Lucidus Leaf Extract inflammation inhibition study

Shin et al. (2005), Archives of Pharmacal Research

Shin 等 (2005),药物研究档案

Proprietary Patent of Lesstopy Unveiling the Mechanism of Skin Recovery

The soothing and moisturizing mechanism of Lycopus Lucidus Leaf Extract goes beyond simple efficacy — it has been scientifically proven to enhance the skin’s natural ability to recover.

Based on these research findings, Lesstopy has obtained a proprietary patent for the composition of Lycopus Lucidus Leaf Extract.

Lesstopy 独家专利 揭示肌肤修复机制

泽兰叶提取物的舒缓与保湿机制不仅仅停留在功效层面,
科学研究已证实其能够强化肌肤的自然修复力。

基于这些研究成果,Lesstopy 获得了关于泽兰叶提取物配方组成的独家专利。

Lesstopy Patent Certificate - No. 10-2144566

*Patent No. 10-2144566